Website
Aktuelles
Mittwoch, 07.04.2021

Forschung

Fördermittel für optische Krebsdiagnostik

Dr. rer. nat. Jan Philip Kolb, Institut für Biomedizinische Optik, Universität zu Lübeck

Durch die Entwicklung innovativer Bildgebungsverfahren sollen Krebstumore während einer Operation besser und schneller bewertet werden können

Das Projekt mit dem Titel „Multiphotonenmikroskopie für die schnittfreie H&E Histologie (MPMHISTO)“ ist im April dieses Jahres am Medizinischen Laserzentrum Lübeck gestartet mit dem Ziel, Mediziner und Medizinerinnen während einer Tumoroperation bei ihrer Entscheidungsfindung zu unterstützen: Mithilfe der von den Forscherinnen und Forschern patentierten Lasertechnik und dem Bildgebungsverfahren soll künftig schneller und präziser noch während der OP ermittelt werden können, ob ein Tumor bereits vollständig entfernt wurde, oder ob noch weiter reseziert werden muss.

Finanziert wird das Vorhaben vom Bundesministerium für Wirtschaft und Energie (BMWi) und den Europäischen Sozialfonds in Höhe von 1,4 Mio. € über das Programm „EXIST-Forschungstransfer“. Unterstützt werden herausragende forschungsbasierte Gründungsvorhaben, die mit aufwändigen und risikoreichen Entwicklungsarbeiten verbunden sind.

Projektleiter Dr. Jan Philip Kolb freut sich über den Erfolg seiner Bewerbung: „Ich sehe dies als große Chance mit unserem Team einen nachhaltigen positiven Beitrag zur Gesellschaft zu leisten, in dem wir nicht nur das Patientenwohl deutlich verbessern, sondern auch erhebliche Kosten im Gesundheitssystem einsparen können.“
In den nächsten 30 Monaten wird er mit seinen Kolleginnen und Kollegen am Medizinischen Laserzentrum Lübeck an der Weiterentwicklung ihrer Erfindung arbeiten. Der funktionierende Laboraufbau soll in einem nächsten Schritt in einen Technologiedemonstrator weiterentwickelt werden, der in einer klinischen Umgebung eingesetzt werden kann. Während der Laufzeit soll eine Ausgründung erfolgen, die nach Projektende den Technologiedemonstrator zu einem Produkt weiterentwickelt.

Die grundlegenden Vorarbeiten des Projekts  „MPMHISTO“ wurden am Institut für Bio-medizinische Optik (BMO) der Universität zu Lübeck in der Arbeitsgruppe von Prof. Robert Huber geleistet. Das BMO kooperiert seit vielen Jahren sehr erfolgreich mit der Medizinisches Laserzentrum Lübeck GmbH (Geschäftsführer Dr. Ralf Brinkmann) in Bezug auf den Technologietransfer in die Klinik und in die Wirtschaft.

Ansprechpartner für Presseanfragen: Dr. Jan Philip Kolb, Tel.: 0451-3101-3229
Email: jan.kolb(at)uni-luebeck(dot)de

Mögliches Aussehen des zu entwickelnden Technologiedemonstrators

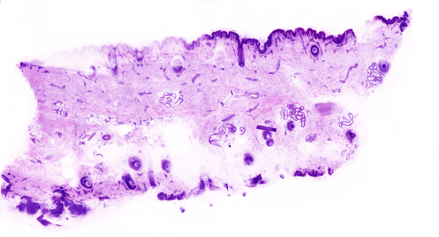
Hochauflösende Aufnahme eines 10x5mm² großen Stück Stückschweineohrs aus dem ein Pathologe oder eine Pathologin später eine Diagnose erstellen würde. Im Original würde man circa 60 4k-Monitore benötigen, um das Bild darzustellen.